EN
就诊须知
预约挂号
检查结果查询
专家门诊
院内新闻
规范创新赋能“舌尖上的安心”——山肿职工餐厅获评“山东团餐绿色餐厅”称号
山一大附属肿瘤医院召开规章制度暨保密工作培训会议
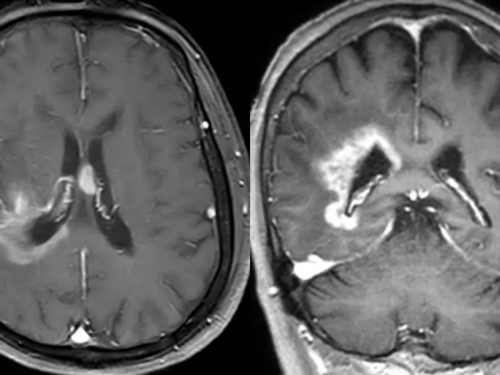
【山肿特色医疗技术】EGFR突变阳性脑膜转移患者治疗新突破
【山肿特色医疗技术】我院神经外科多方案联合成功救治室管膜、软脑膜广泛播散延髓脑干胶质瘤危重患者
喜报!山一大附属肿瘤医院李庆水教授作为共同第一作者在国际顶级期刊CA上发表研究成果!
山一大附属肿瘤医院召开第12次党委理论学习中心组(扩大)会议
山一大附属肿瘤医院离退休老干部参观质子中心
山一大附属肿瘤医院青年理论学习小组集中学习党的二十届四中全会精神
山肿院史馆记录视频获评“2025年山东省公立医院文化阵地优秀短视频”
通知公告
招聘
招标
通知
山东第一医科大学附属肿瘤医院放疗技术员招聘简章
山东第一医科大学附属肿瘤医院关于公布2025年第二批公开招聘博士研究生成绩的通知
山东第一医科大学附属肿瘤医院肖昊男教授课题组博士后招聘公告
山东第一医科大学附属肿瘤医院王海永教授课题组博士后招聘公告
山东第一医科大学附属肿瘤医院孙晓蓉教授课题组博士后招聘公告
病理科试剂(异常糖链糖蛋白(TAP)检测试剂盒等)包3、包4二次评标结果公示公告
采购公告(乙型肝炎病毒核酸检测试剂盒(PCR-荧光法)等)试剂采购
采购公告(检验科试剂(肌红蛋白测定试剂盒等)采购)包3、包4三次
废标公告(检验科试剂(肌红蛋白测定试剂盒等)采购)包3、包4二次
中标信息公告2025-147(高压蒸汽灭菌器等药学设备)
山东第一医科大学附属肿瘤医院医用设备市场调研公告
山东第一医科大学附属肿瘤医院医用设备市场调研公告
山东第一医科大学附属肿瘤医院质子治疗系统Flash应用项目环境影响评价第二次信息公示
山东第一医科大学附属肿瘤医院质子治疗系统Flash应用项目环境影响评价第一次信息公示
山东第一医科大学附属肿瘤医院2025年国庆节放假安排
医院视频
乘势而上谋跨越 勇立潮头谱新篇
质子梦 强院梦——山东省肿瘤医院质子中心建设发展实践
2023全球洗手日,山肿与您一起守护
“人民探访”走进我院:探访全国首家卵巢癌专科病区
专家介绍
于金明
研究员
李宝生
研究员
王哲海
研究员
邢力刚
主任医师
于金明
研究员
李宝生
研究员
王哲海
主任医师
宋现让
研究员
石学涛
研究员
李文武
研究员
张利民
主任医师
张鑫
研究员
张百江
研究员
马恒
研究员
于甬华
研究员
重点学科
重点实验室