【山肿特色医疗技术】达芬奇机器人助力高难度妇科手术——我院成功为极度肥胖患者切除巨大子宫肿瘤
2026-03-24 10:12:08
编者按:为充分展现医院特色、学科优势和特色诊疗技术,形成良好品牌效应,提升大众对肿瘤技术的了解,山东第一医科大学附属肿瘤医院开设“山肿特色医疗技术”专栏,全方位展示医院的创新成果与优质服务。本期内容为“达芬奇机器人辅助完成极度肥胖患者巨大子宫及肿瘤切除”。
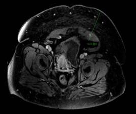
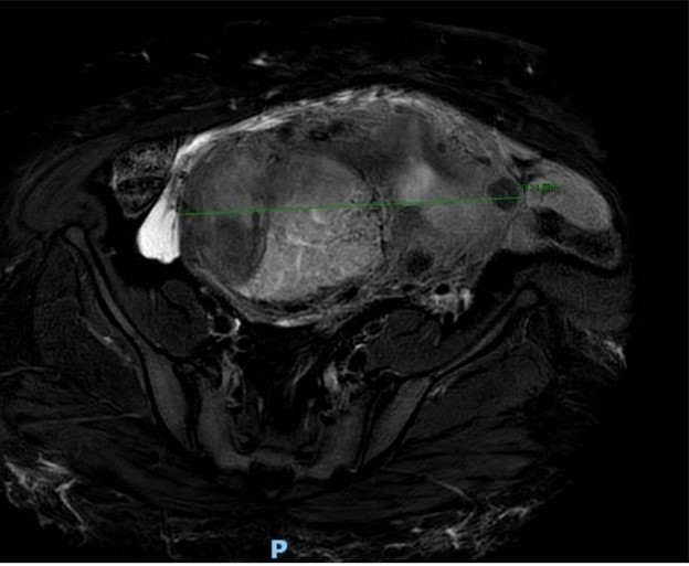
近日,我院子宫肿瘤一病区主任李大鹏团队利用达芬奇机器人手术系统,成功为一名极度肥胖患者实施达芬奇机器人辅助全子宫切除+双侧附件切除术,顺利切除20cm巨大子宫肌瘤。该手术的成功实施,再次体现了机器人手术在复杂妇科疾病、尤其是极度肥胖患者中的独特优势。
极度肥胖叠加多种高危因素,传统手术面临巨大挑战
患者女性,身高156cm,体重145kg,BMI高达59.6,属于极度肥胖体型。患者合并贫血、支气管哮喘、心肺功能欠佳等多种慢性病,同时存在盆腔粘连、骨盆狭窄等情况,下腹壁脂肪层极厚,不仅增加麻醉与围手术期风险,也为手术操作带来了极大困难。该患者子宫及肿瘤横径超20cm,占据整个盆腔,下腹壁脂肪堆积腹壁厚度超过10cm。患者先后就诊于省内多家医院均未能手术,遂转诊我院。

手术入路成难题
患者会阴区及大腿脂肪堆积明显,导致阴道暴露宫颈极为困难,传统经阴道手术路径基本不可行。对于如此体型患者,传统开腹手术存在明显局限:下腹壁脂肪层厚,切口更长、更深;术野暴露困难,盆腔深部结构不易显露;手术创伤大、出血风险高;术后恢复慢、感染及切口并发症风险增加。传统腹腔镜手术同样面临挑战,由于患者腹壁脂肪层极厚,向心性肥胖,下腹部脂肪堆积尤为明显,腹壁厚度超过10cm,常规腹腔镜穿刺器长度难以安全穿透腹壁进入腹腔,同时肥胖患者腹腔操作空间受限、器械活动角度受限,手术难度显著增加。
达芬奇机器人系统展现独特优势
面对这一高难度病例,李大鹏主任团队经过多学科评估,最终决定采用达芬奇机器人辅助微创手术方案。达芬奇机器人系统在本例手术中展现出了显著优势。首先是三维高清放大视野,在狭窄盆腔内仍能清晰辨认解剖结构,其次凭借机械腕的灵活操作,可在深部、狭窄空间内精细分离组织,操作更加稳定,减少手部震颤,同时可以更精准地处理盆腔粘连及血管结构。

严格无瘤操作,装袋小切口取瘤
在机器人系统的辅助下,为该患者完整切除了巨大子宫及双侧附件,由于患者骨盆狭窄且会阴区脂肪堆积明显,阴道暴露困难,无法经阴道取出标本。李大鹏主任团队通过术中自制取物袋,将巨大肿瘤完整置入取物袋内取出,全过程严格遵循无瘤原则,最大程度减少了腹壁创伤。
多学科团队协作,患者恢复良好
相比传统开腹手术,达芬奇机器人手术具有创伤更小、恢复更快、并发症风险更低等显著优势。该患者不仅手术操作难度大,同时合并贫血、支气管哮喘、心肺功能欠佳等多种慢性病,围手术期气道管理、肺部感染、血栓防控等都会决定手术成败。我院妇瘤手术、麻醉、护理团队默契配合,从手术团队精准操作,到麻醉医师个体化气道管理方案,再到术后护理团队的精细化管理,真正实现全周期规范服务,助力患者疗效提升。该患者1周后顺利康复出院。
技术进步为复杂病例带来更多可能
极度肥胖、巨大盆腔肿瘤、多种基础疾病叠加、心肺功能差,使本例成为妇科手术中的高难度病例。达芬奇机器人系统凭借其精准、稳定、灵活的技术优势,为复杂病例提供了更安全、更微创的治疗选择。此次手术的成功实施,不仅展示了我院妇科团队在复杂微创手术领域的技术实力,也为更多高风险患者带来了新的治疗希望。
专家简介

主任医师,硕士研究生导师,山东第一医科大学附属肿瘤医院妇瘤科主任,妇科肿瘤学科主任。
致力于妇科肿瘤综合治疗技术的临床与基础研究,承担国家及省级科研立项、临床试验40余项,获山东省科技进步奖2项。擅长妇科肿瘤根治术、宫颈癌保育术、盆腔廓清术等复杂疑难手术,腹腔镜、机器人微创手术及质子放疗、近距离三维后装放射治疗等精准放疗技术。兼任中国临床肿瘤学会妇瘤专委会常委,中国抗癌协会近距离放疗专委会副主任委员、中国抗癌协会宫颈癌专委会常委,山东省妇科医疗质控中心副主任,山东省抗癌协会近距离放疗分会主委,山东省医学会妇瘤分会副主委。
门诊时间:每周一、周三上午,宫颈宫体1门诊
地址:门诊楼2楼3号通道3号诊室
供稿:子宫肿瘤一病区
编辑:李鹏飞
责编:王沙沙
审核:路友华